脑神经外科
我们是一群经验丰富的脑神经外科注册护士和一群专业从事颅底,脊柱和脑血管手术的脑神经外科医生。
几十年来,我们一直在治疗急性中风患者及其他患有脑和脊椎问题的病人。
我们还提供的紧急医疗谘询,援助和治疗服务。
除为香港本地病人服务外我们还为澳门,中国内地及其他国家的病人提供紧急医疗服务,包括遥距远程医疗意见、国际营救、安排医疗专机或陆路护送、国际护送、等等。
脑动静脉畸形血管瘤 (AVM) - 简介与治疗
简介
普罗大众都以为中风和年龄有着必然的关系,然而这是不正确的。任何年龄,即使是小孩也有机会中风,皆因中风是脑血管疾病所致,而我们每个人, 无论任何年纪也有机会患上先天性或后天性的脑血管病变。这则简介与治疗概览提供了一些关于脑动静脉畸形血管瘤的基本知识,同时就病人及其家属关心的一系列常见问题给予解答。
脑动静脉畸形血管瘤(Cerebral Arteriovenous Malformation – AVM)是先天性的脑血管病变,患者的年龄广泛,由四岁小童以至八十多岁的老人家也有。先天性的脑动静脉畸形血管瘤一旦破裂,能导致严重的出血性中风,对病人的脑神经功能及身心之残害影响至巨,亦会令家庭亲人背负着沉重的身心及经济负担。
什么是脑动静脉畸形血管瘤及其致病原因?脑动静脉畸形血管瘤是一种先天性的疾病,致病原因不明,亦没有遗传基因导致。患者胎儿时在母亲体内之脑部发育时,动静脉畸形的问题已经形成。在脑部某处血管不正常的畸形血管组织。畸形血管组织欠缺了正常的微丝血管系统,让脑动脉血管与静脉血管直接相连。 正常人体脑部的供血,是由心脏及颈项的大血管,再经由脑部的四条主动脉血管,经过分支血管再流至多条极之细小的微丝血管系统。血液里的氧气和养份会经过微丝血管壁之渗透去供养脑细胞,之后血液就会经过静脉血管系统排走,回流到颈项之静脉,继而流回心脏,作为一个循环。 | ![]() (Cerebral Arteriovenous Malformation – AVM) |
| 除了提供氧气和养份给脑细胞之外,微丝血管的另一功能就是作为流入动脉血管内的血液压力之缓冲。可是,先天性动静脉畸形血管瘤的中心处,天生就是缺少了正常应该有的微丝血管系统,令到静脉在没有缓冲下承受着来自动脉血液的巨大压力,令静脉血管变得曲张胀大,其血管壁亦变得脆弱,容易破裂出血,继而引发出血性中风。 | |
脑动静脉畸形血管瘤患者之性别、年龄分布和症状
- 没有任何症状:
大多数患者由出生至到畸形血管瘤爆破之前,都没有任何症状。 - 脑部供血不稳之症状:
畸形血管可以令到其附近之脑细胞的接受供氧比例降低,因而引发一些神经症状,例如:偶尔说话困难不清、肢体麻痹无力、视力不稳、甚至乎是癫痫症发作。 - 出血性中风:
先天性脑动静脉畸形血管瘤之患者以女性较多,其涵盖的年龄层广泛,由四岁小童以至八十多岁的老人家也有。虽然脑动静脉畸形血管瘤每年爆破的风险少于1%,但它却是儿童、年轻人、孕妇、身体健康人士出血性中风的主因之一,病发的大多数处于 10多岁至40多岁的年龄层。怀有先天性脑动静脉畸形血管瘤的人通常由小到大都没有任何症状,直至血管瘤爆破时才有剧烈头痛、头晕、恶心、呕吐、神经功能失调、意识混乱、癫痫症发作、甚至昏迷的紧急症状。
筛查脑动静脉畸形血管瘤的详尽身体结构检查
- 磁力共振(MRI)和磁力共振血管造影(MRA)
磁力共振是一种「无辐射、无创伤、无痛楚」的扫描造影技术,与带有辐射的X光或电脑断层扫瞄(CT scan)大有不同。先进的磁力共振机不单止无需注射显影剂,亦能做到 3D三维立体脑血管造影的效果,又能够准确、清楚地照出脑动静脉畸形血管瘤的位置及其与正常脑组织的关系。此外,磁力共振亦可扫描人体全身不同部位,亦可为没有病征人士进行全身体内结构的详尽筛查,侦测潜在身体结构内里中风或癌症之风险。 - 电脑断层扫描血管造影(CTA)
电脑断层扫描血管造影(CTA) 牵涉辐射和静脉注射显影剂,虽然不是一般身体健康筛查 的首选造影检查,但它能提供更多资讯,让神经血管外科医生在选择医疗方案时作参考。 - 动态 及 3D 三维立体数码递减脑血管造影( Dynamic 3D Digital Subtraction Cerebral Angiogram DSA):
虽然是微创入侵性的检查,亦牵涉辐射和注射显影剂,但它是神经血管外科医生选择治疗方前必须的,而且是黄金规格之最终检查,能够让医生全面掌握脑部血管:由动脉到微丝血管,以至静脉血管内血液之动态流向和速度,有着全面的资讯。此外DSA 能够让医生知道畸形血管有没有在短时间内爆破之风险,从而为病人作出一个最佳医疗方案和时间期限。

脑动静脉畸形血管瘤的治疗方案
目前脑动静脉畸形血管瘤的治疗方案:
- 保守观察:
若患者完全没有症状,又或者有症状但是年纪老迈、身体健康严重不佳、或个别情况下医生认为进行任何治疗会比不治疗的风险较高,医生一般都会以保守性治疗观察。 - 微创显微镜脑血管外科切除手术 (Minimally Invasive Microscopic Excision):
手术是在3D三维立体电脑导航的指导下进行,如有需要,神经血管外科医生亦 会使用运动神经脑皮层反射和连续脑功能监测系统,在显微镜下,除了以彻底 切除动静脉畸形血管瘤和去除血肿为目的之外,医生亦会用尽一切方法完好地 保护病人脑部的神经功能,以免受损。手术的成功率取决于脑动静脉畸形血管 瘤的大小、位置、复杂程度,以及负责手术的医生之相关经验。 - 微创脑血管导管堵塞手术(Endovascular Embolization):
视乎临床情况,导管堵塞手术疗法可以独立进行治疗,或可以应用在显微镜手术切除前、或放射治疗前进行,用以减少脑动静脉畸形的体积和范围。神经血管外科医生会在病人大腿腹股沟上的动脉,以针孔伤口,利用极微细的导管,经过病人体内的大动脉,在X光导航下将导管游走至病人大脑的血管,医生然后会在动静脉畸形的血管中,注入极微细的钛金属丝、塑胶珠球或是特制胶水,用以栓塞供养畸形血管的动脉和畸形血管的中心。脑血管导管堵塞手术之风险,主要在于手术进行时意外地伤及正常和畸形血管,令其堵塞或破裂出血,引致缺血性或出血性中风。手术之另一风险就是在过程中意外地将畸形血管排出血液的静脉血管过早被堵塞,令到畸形血管内的血液被排出,血液压力急速上升而令血管瘤爆破。 - 放射线疗法(Radiosurgery):
放射治疗不需要麻醉,治疗是从多个角投放辐射线,高能量的辐射线会集中在畸形血管上,令到不正常的畸形血管随着岁月,慢慢地在两至三年的长时间内连续渐进闭塞,令到血液无法通过畸形血管而是流会回正常的血管中,畸形血管瘤消失后,病人出血性中风的风险就可以大幅降低了。
放射治疗适用于:- 畸形血管瘤大小少过3厘米
- 血管瘤在脑部的位置太深入
- 血管瘤在脑部的位置太过接近重要神经功能部位
- 血管外科医生经过评核后认为若果以血管堵塞术或显微镜切除手术,所牵涉的风险较大
放射治疗之风险:
- 虽然不用麻醉和做手术,但由于放射治疗涉及辐射,而辐射线必须穿过正常脑组织才能到达畸形血管瘤,难免会对附近的脑细胞和血管组织,造成短期或长期的影响
- 如果放射治疗的位置不够精准,可以造成畸形血管之静脉部份过早闭塞,令到血液只会经由动脉血管流入畸形血管,而不能经过闭塞了之静脉血管流出,令到畸形血管瘤内血压提升而爆破,引致出血性中风。
放射治疗的系统选择有:
- X光刀 (X-Knife)
- 伽玛刀 (Gamma Knife)
- 数码导航刀(Cyberknife)
三种放射线疗法的差异如下以供参考:
| 费用 | 用头钉固定头部 | 可否做分段治疗 | 准确度 | |
| 伽玛刀 (Gamma knife) | 次贵 | 要 | 可做但头钉需放置数天 | 很高 |
| X光刀 X-ray-knife | 较便宜 | 视机器而定 | 视机器而定 | 高 |
| 数码导巡刀 Cyberknife | 最贵 | 不用 | 可做 | 很高 |
影响脑神经血管外科医生治疗决策的考虑因素
依据美国中风协会的治疗标准(ASA Guideline),我们可以依美国神经血管外科医生 Professor. Spetzler-Martin的研究将AVM的危险程度分成五级(见下图),来区分治疗的方法:
| Spetzler-Martin AVM Grading Scale | 分数(总分: 1-5) | |
| 大小 | 0~3cm | 1 |
| 3~6 cm | 2 | |
| >6 cm | 3 | |
| 位置 | 非位于重要脑部 | 0 |
| 位于重要脑部 | 1 | |
| 深部静脉灌流 | 无深部静脉灌流 | 0 |
| 有深部静脉灌流 | 1 | |
- 低度危险(第1、2级)的AVM
神经血管外科医生一般会使用微创显微镜脑血管外科切除手术 (Minimally Invasive Microscopic Excision)来治疗,若是畸形血管瘤的位置 涉及重要脑神经功能之部位,医生可以考虑使用放射疗法(Radiosurgery)。 - 中度危险(第3级)的AVM
可以在微创显微镜脑血管外科切除手术后,再施以血管栓塞术 (endovascular embolization)来作治疗。 - 高度危险(第4、5级)的AVM
若任何治疗方案都会太危险,一般医生会以保守性疗来持续观察。
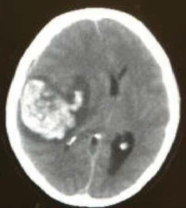
相关案例案例(一):孕期中的女性两个分别15、16岁的少女,一向健康、没有头痛症状,两个案例分别在怀孕初期及中期,突然患上严重大脑出血性中风,剧烈头痛后急速昏迷休克,在紧急脑外科开颅手术清除瘀血及减低颅内压后,两名少女和他们的小孩完全康复,没有任何后遗症。 另一案例是一位39岁的怀孕后期的女士,就发生在婴儿要出世而作动的一晚,她的丈夫英勇果断的把她和婴儿从鬼门关中拯救出来,婴儿现在已是一个健康和可爱的孩子了。无奈39岁的女士,由于动静脉畸形血管瘤破裂引至严重的大脑功能损伤却变成了植物人,医生尝试用过每一种治疗方案亦不果,在医院卧床了五年才去世。 | ![]() |
![]() | |
案例(二):四岁稚子大脑神经永久损害
四岁小朋友,出生以来一切健康正常,没有任何症状,有一天随母亲逛街时突然感到头部剧痛,然后急速昏迷。送到医院证实是先天性大脑动静脉畸形血管瘤爆破引致严重出血性中风。他虽然从鬼门关被拯救出来,但即使经过五年多的医治也不能逆转中风对大脑神经的永久损害。如今小孩仍然患有严重残疾,需要长期卧床,也无法与人沟通。
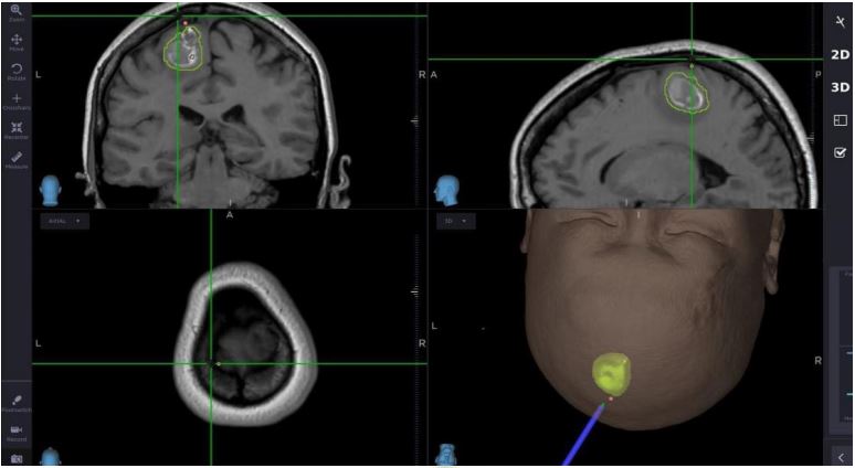
案例(三):血管瘤破裂流血导致肢体无力49岁的女士,接种疫苗后2周感到左腿无力,虽然看了中医和骨科医生,更做了脊柱磁力共振MRI造影, 仍然找不到原因。脑血管外科医生经过临床评估后为她进行了3D三维立体磁力共振脑血管造影,显示其大脑都有先天性动静脉畸形血管瘤并且已经少量出血,瘀血压着她右脑负责控制左腿功能的位置。在3D三维立体电脑导航、运动神经脑皮层反射和连续脑功能监测系统下,神经血管外科医生在显微镜下彻底切除血管瘤和去除瘀血,病人脑部的神经功能得以完好恢复。手术后,病人左腿的力量恢复正常。 | ||
![]() | ||
![]() | ![]() | |
使用运动皮层映射和连续脑功能监测系统进行手术 | ||
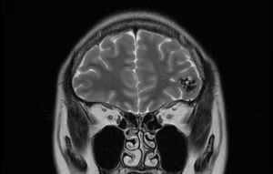
案例(四):畸形血管瘤出血引起严重脑癫痫症发作
一名37岁女士被发现在家中晕倒、丧失意识,被送入公立医院。病人和家属获告知CT电脑扫描、脑电波图和所有血液化验结果一切正常,医生仍然没有临床线索来确定她晕厥的原因。于是病人出院后咨询脑血管外科医生意见,医生审查公立医院的血液检查报告时发现病人血清肌酶素曾经非常高,表示她晕倒、意识不清的原因是严重强直阵挛性脑癫痫症发作。医生于是为她进行3D三维立体磁力共振脑血管造影,造影显示病人左前额大脑脑叶藏有一个3cm的先天性动静脉畸形血管瘤,并有少量最近出血的现象,是她失去意识和脑痫症的原因。动态 3D 三维立体数码递减脑血管造影(Dynamic 3D Digital Subtraction Cerebral Angiogram DSA) 确定血管瘤内血液的流动模式。在4 小时的显微镜下,血管外科医生在血管瘤旁边的脑部看到血铁黄素的旧有残留血液,血管瘤和瘀血均被彻底移除。病人脑部神经功能得以完好保全,手术后两天出院,10年来癫痫症再没有发作。
![]() | ![]() |
![]() | ![]() |
![]() | ![]() |
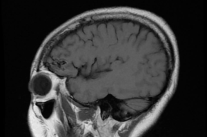
案例(五):放射治疗导致血管瘤静脉部份过早闭塞,令血管瘤爆破
当年42岁的家庭主妇,与家人到深圳作全身检查时,发现脑里有一个先天性的脑动静脉 畸形血管瘤。回港后,该女士到公立医院求医,医生告知她应采取观察和保守治疗方案。可是,在家人的劝告下,病人远赴广州进行了X光刀放射治疗。手术后回港不久,病人在 凌晨时份 睡梦中口吐白沫,不醒人事,被送往附近的公立医院。在紧急脑外科开颅手术 清除瘀血及减低颅内压后,神经血管外科医生再作详细调查,怀疑是放射治疗的位置不 够精准,造成畸形血管之静脉部份过早闭塞,令到血液只会经由动脉血管流入畸形血管,而不能经过闭塞了之静脉血管流出,令到畸形血管瘤内血压提升而爆破,引致出血性中 风。虽然病人幸运地被救回性命,但受损的脑神经区域却令她丧失说话能力(俗称「失 语症」)及丧失右手的活动能力。
![]() | ![]() |
案例(六):趁危机引爆前拆除它
两位分别是16岁的少年和56岁的男士,在没有任何征状时做了详尽的脑及脑血管结构检查,3D三维立体磁力共振脑血管造影显示两人的大脑都有先天性的脑血管动静脉畸形血管瘤,在血管外科医生建议下,经过一段时间的观察和保守治疗,其后利用了微创脑血管导管堵塞手术、加上放射治疗,畸形血管瘤得到了有效根治,病人与生俱来的大脑计时炸弹得以拆除,消除了他们将来出血性中风的风险。


3D 三维立体脑血管造影显示,左边大脑有先天性的脑血管动静脉畸形 (AVM)。
免责声明
这则简介与治疗概览内容只供作一般性质及参考用途,目的是让病人及其家属于决定接受治疗前对病症及不同治疗方案有一定程度的了解。病人需按自身实际状况,作出合适自己的治疗决定。此概览内容并无为个别病人提供确实的诊断或建议进行的治疗方案。任何治疗方案均有其潜在风险,因此就诊时,请病人务必与医护人员配合。















