中風 | 腦血管外科的中風三部曲(急救篇)個案分享:如何為缺血性中風患者施行急救?
腦 血管外科的 中風三部曲 (急救篇)
筆者於上兩期的中風第一部曲之上、下篇提及腦血管外科負責的中風預防,這次就輪到中風的急救。
中風在香港及中國社會裏是第三丶四號致命殺手,緊隨癌病、心臟病和感染疾病之後。然而在眾多常見疾病的生還者當中 (例如頭號殺手癌症、第2號殺手心臟病和第3號殺手感染疾病),中風卻是令到生還者永久傷殘的頭號原因。
近年來,中風的病人大多數都是看起來十分健康、愛護運動的中年人仕。就是他們往往自以為自身的體內結構沒有先天或後天的病變,以為可以多做運動、健康飲食、定時睡眠、不煙不酒的良好習慣,就能百分之百預防中風,就這樣便錯過了預防中風的第一步曲。
其實那些良好習慣只能夠減低或減慢後天腦血管病變疾病,並不能杜絕其發生。亦不能逆轉已經存在的先天性老血管病變!所以正如筆者在中風第一步曲上下兩篇的文章所述,詳細客觀的身體檢查包括頸血管和腦部血管的三維造影,是最有效去篩查人體內潛在而導致中風的計時炸彈。
中風年輕化
中風是會隨時隨地,在沒有先兆之下,意外的突然其來,給中風患者和家人殺個措手不及。近年來中風更有年輕化的趨勢,患有先天腦血管病變而中風的病人,可以低至四歲至十多歲。然而患有後天腦或頸血管病變而中風的病人,年齡可以低至二十八、九歲。此外,因為運動、頸部按摩或不當整脊而導致頸血管受傷而中風的病人,多集中於20至50多歲的年齡層。
中風急救與「天時、地利及人和」的關係
中風的急救和病人的命運,總括來說是靠天時、地利、及人和。
例如:
1. 天時:
我們都認同,發生在白天:九至五辦公時間的中風,相比起發生在凌晨:三、四點睡眠時間的中風,兩者在黃金小時內急救之分別都有著天淵的差距。
2. 地利:
中風患者病發的地方,有沒有專治急性中風的醫療專才和儀器,能夠在黃金小時內施救,對中風患者的生還和康復機會,亦有著莫大影響。
3. 人和:
當中風發生時,中風患者身邊的親友和第一手施救的醫生是最關鍵的。
前者的重任是第一時間用最快捷最直接的方法去求救,將中風患者直接送去有二十四小時磁力共振和電腦掃描服務而又有受過腦血管外科專科訓練的醫生的醫院。
第一手施救病人的醫生如果有腦血管外科的訓練,就可以在黃金小時內直接了當的自己同時為缺血性中風和出血性中風之患者進行緊急診斷、分流及救治大腦的醫療程序,而無需要轉介其他專科醫生,以至耽誤時間。
缺血性中風個案分享:五十歲不煙不酒男患者
以下的個案分享,就讓我們了解天時、地利、人和對中風急救之重要性:
個案:
五十歳的羅先生,一向熱愛工作和運動,過往健康正常、不煙不酒、身材健碩。六年前,羅先生因為感冒發燒留在家中休息,午睡後他突然覺得左邊手腳乏力,於是由妹妹召喚十字車送他到住所附近的政府醫院。

公院服務限制可能令急救延後
電腦掃描顯示羅先生的腦部並沒有出血,但電腦掃描不能顯示羅先生的頸或腦血管有沒有堵塞。要知道電腦掃描對於缺血性中風的診斷幫助是非常有限的,它不能像磁力共振般那樣敏感的去偵測病人腦部早期缺血的情況。此外沒有注射造影劑的電腦掃描亦不能偵測病人頸部或腦部血管堵塞的情況。當時,磁力共振服務亦不是政府醫院中風急救的必須程序,而且政府醫院是沒有二十四小時的磁力共振造影服務的。
即使如此,當值駐院的非專科醫生亦估計羅先生是因為頸或腦血管栓塞而導致缺血性中風,需要緊急進行黃金小時的通血管急救。但是當時靜脈注射溶血栓藥的傳統黃金3至4.5小時的時限已過,只因在中風急救的每一個環節都有所延遲:等候十字車、救護員護送往醫院急症室的車程,急症室醫護人員的分流,電腦掃描造影的安排和等待,駐院非專科醫生的初步診治等等……


其實、即使黃金時限並沒有超過,羅先生的中風是因為頸部和腦部的大血管堵塞所致,是並非一般黃金3至4.5小時靜脈注射的溶血栓藥所能逆轉的。羅先生真正需要的急救是當時嶄新的腦血管通波仔手術: 機械式血栓吸取內血管治療急救。可是當時駐院的腦血管外科醫生已經下班,他們亦沒有提供這項服務的承諾。在情況緊急及沒有其他選擇方法下,羅先生的妹妹只好向私家專科醫生求救。

患者被轉送到私院施行手術
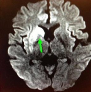
羅先生被送往私家醫院的第一步是進行緊急磁力共振造影,報告顯示羅先生右邊頸和腦部血管大動脈全部都被血栓堵塞着,右邊大腦缺血水腫,導致左邊手腳冇力和神智半昏迷。經過腦血管外科醫生的診斷和急救,在全身麻醉下,醫生使用尤如髪絲微細的導管,經過病人右邊大腿的腹股溝的大動脈而入,導管再經過腹部和胸腔的大動脈一直向上,遊走到病人右邊的頸和腦部血管大動脈,進行機械式血栓吸取內血管治療急救。

手術成功 患者手腳活動能力恢復
經過1小時的血管急救,所有血栓都被移除,羅先生的右頸和腦部血管都給順利打通,腦部缺血情況立即得到改善。血栓被吸取後,腦血管外科醫生發現羅先生的右頸內動脈有嚴重血管狹窄的情況,這個狹窄就是羅先生中風的主要原因。醫生因此植入血管支架來重新擴張狹窄的血管,以防止羅先生將來中風復發。全身麻醉清醒後,羅先生的大腦意識和手腳活動能力即時好轉,他其後再被送回另一間公立醫院繼續康復治療。



六年以來羅先生手腳活動能力正常,與其他人無異,能夠繼續上班工作和與家人享受生活。