脑血管外科
谈中风三部曲的第二部曲上篇:缺血性中风的急救
笔者于上两期的中风第一部曲之上、下篇提及脑血管外科负责的中风预防,这次就轮到中风的急救。
中风在香港及中国社会里是第三丶四号致命杀手,紧随癌病、心脏病和感染疾病之后。然而在众多常见疾病的生还者当中 (例如头号杀手癌症、第2号杀手心脏病和第3号杀手感染疾病),中风却是令到生还者永久伤残的头号原因。
近年来,中风的病人大多数都是看起来十分健康、爱护运动的中年人仕。就是他们往往自以为自身的体内结构没有先天或后天的病变,以为可以多做运动、健康饮食、定时睡眠、不烟不酒的良好习惯,就能百分之百预防中风,就这样便错过了预防中风的第一步曲。
其实那些良好习惯只能够减低或减慢后天脑血管病变疾病,并不能杜绝其发生。亦不能逆转已经存在的先天性老血管病变!所以正如笔者在中风第一步曲上下两篇的文章所述,详细客观的身体检查包括颈血管和脑部血管的三维造影,是最有效去筛查人体内潜在而导致中风的计时炸弹。
中风是会随时随地,在没有先兆之下,意外的突然其来,给中风患者和家人杀个措手不及。近年来中风更有年轻化的趋势,患有先天脑血管病变而中风的病人,可以低至四岁至十多岁。然而患有后天脑或颈血管病变而中风的病人,年龄可以低至二十八、九岁。此外,因为运动、颈部按摩或不当整脊而导致颈血管受伤而中风的病人,多集中于20至50多岁的年龄层。
中风的急救和病人的命运,总括来说是靠天时、地利、及人和。
例如:
- 天时:我们都认同,发生在白天:九至五办公时间的中风,相比起发生在凌晨:三、四点睡眠时间的中风,两者在黄金小时内急救之分别都有着天渊的差距。
- 地利:中风患者病发的地方,有没有专治急性中风的医疗专才和仪器,能够在黄金小时内施救,对中风患者的生还和康复机会,亦有着莫大影响。
- 人和:当中风发生时,中风患者身边的亲友和第一手施救的医生是最关键的。
前者的重任是第一时间用最快捷最直接的方法去求救,将中风患者直接送去有二十四小时磁力共振和电脑扫描服务而又有受过脑血管外科专科训练的医生的医院。
第一手施救病人的医生如果有脑血管外科的训练,就可以在黄金小时内直接了当的自己同时为缺血性中风和出血性中风之患者进行紧急诊断、分流及救治大脑的医疗程序,而无需要转介其他专科医生,以至耽误时间。
以下的个案分享,就让我们了解天时、地利、人和对中风急救之重要性:
个案:
五十歳的罗先生,一向热爱工作和运动,过往健康正常、不烟不酒、身材健硕。六年前,罗先生因为感冒发烧留在家中休息,午睡后他突然觉得左边手脚乏力,于是由妹妹召唤十字车送他到住所附近的政府医院。
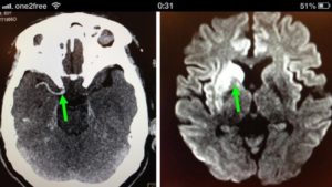
电脑扫描显示罗先生的脑部并没有出血,但电脑扫描不能显示罗先生的颈或脑血管有没有堵塞。要知道电脑扫描对于缺血性中风的诊断帮助是非常有限的,它不能像磁力共振般那样敏感的去侦测病人脑部早期缺血的情况。此外没有注射造影剂的电脑扫描亦不能侦测病人颈部或脑部血管堵塞的情况。当时,磁力共振服务亦不是政府医院中风急救的必须程序,而且政府医院是没有二十四小时的磁力共振造影服务的。
即使如此,当值驻院的非专科医生亦估计罗先生是因为颈或脑血管栓塞而导致缺血性中风,需要紧急进行黄金小时的通血管急救。但是当时静脉注射溶血栓药的传统黄金3至4.5小时的时限已过,只因在中风急救的每一个环节都有所延迟:等候十字车、救护员护送往医院急症室的车程,急症室医护人员的分流,电脑扫描造影的安排和等待,驻院非专科医生的初步诊治等等…………。
其实、即使黄金时限并没有超过,罗先生的中风是因为颈部和脑部的大血管堵塞所致,是并非一般黄金3至4.5小时静脉注射的溶血栓药所能逆转的。罗先生真正需要的急救是当时崭新的脑血管通波仔手术: 机械式血栓吸取内血管治疗急救。可是当时驻院的脑血管外科医生已经下班,他们亦没有提供这项服务的承诺。在情况紧急及没有其他选择方法下,罗先生的妹妹只好向私家专科医生求救。
罗先生被送往私家医院的第一步是进行紧急磁力共振造影,报告显示罗先生右边颈和脑部血管大动脉全部都被血栓堵塞着,右边大脑缺血水肿,导致左边手脚冇力和神智半昏迷。经过脑血管外科医生的诊断和急救,在全身麻醉下,医生使用尤如髪丝微细的导管,经过病人右边大腿的腹股沟的大动脉而入,导管再经过腹部和胸腔的大动脉一直向上,游走到病人右边的颈和脑部血管大动脉,进行机械式血栓吸取内血管治疗急救。
经过1小时的血管急救,所有血栓都被移除,罗先生的右颈和脑部血管都给顺利打通,脑部缺血情况立即得到改善。血栓被吸取后, 脑血管外科医生发现罗先生的右颈内动脉有严重血管狭窄的情况,这个狭窄就是罗先生中风的主要原因。医生因此植入血管支架来重新扩张狭窄的血管,以防止罗先生将来中风复发。全身麻醉清醒后,罗先生的大脑意识和手脚活动能力即时好转,他其后再被送回另一间公立医院继续康复治疗。

![]() |
![]() |
![]() |
![]() |
| 导管游走到病人右边的颈和脑部血管大动脉,进行机械式血栓吸取 | |
![]() |
![]() |
| 血栓被吸取后, 右颈和脑血管都给顺利打通,脑部缺血情况立即得到改善 | |







