Treatment of Cerebral Arteriovenous Malformations (Part I)
Cerebral Arteriovenous Malformation (AVM) – It is a congenital cerebrovascular lesion, and the patients are wide-ranging, from 4-year-old children to elderly people in their 80s. When a congenital arteriovenous malformation hemangioma ruptured, can lead to severe hemorrhagic stroke, which has a great impact on the patient’s brain nerve function and physical and mental disability, and will also burden the family and relatives with physical, mental and economic affects.
Causes of Cerebral Arteriovenous Malformations (AVM)
Cerebral arteriovenous malformation is a congenital disease with unknown causes and is unrelated to genetic causes. When patient was fetus, during the brain development in the mother’s body, the problem of arteriovenous malformation has formed, which is a malformed vascular tissue with abnormal blood vessels somewhere in the brain.
Malformed vascular tissue lacks the normal microfilament vascular system, allowing cerebral artery blood vessels to be directly connected to venous blood vessels. The normal blood supply to the human brain is from the large blood vessels of the heart and neck, and then through the four aortic vessels of the brain, through the branch blood vessels and then to a number of very small microfilament vascular systems. The oxygen and nutrients in the blood will be penetrated through the microfilament blood vessel wall to feed the brain cells, and then the blood will be drained through the venous vascular system, back to the veins of the neck, and then back to the heart, completing a cycle. In addition to providing oxygen and nutrients to brain cells, the microfilament blood vessels also function as buffering the pressure generated by the blood flowing into the arterial vessels. However, the center of congenital cerebral arteriovenous malformation is born with a lack of the normal microfilament vascular system, so that the veins are subjected to great pressure from arterial blood without buffering, resulting in venous blood vessels become varicose and swollen, and their blood vessel walls become fragile, easy to rupture and bleed and then causing hemorrhagic stroke.
Sex, Age Distribution and Symptoms of Patients with AVM
(1) There is No Symptoms:
Most patients have no symptoms from birth until the rupture of malformed hemangioma.
(2) Symptoms of Unstable Blood Supply to the Brain:
Malformed blood vessels can reduce the proportion of nearby brain cells receiving oxygen, which can lead to neurological symptoms such as occasional difficulty speaking, paralyzed limbs, unstable vision, and even seizures.
(3) Hemorrhagic Stroke:
The majority of patients are women, covering a wide range of age groups, from 4-year-old children to elderly people in their 80s. Although the risk of rupture of cerebral arteriovenous hemangiomas is less than 1% per year, it is one of the main causes of hemorrhagic stroke in children, young people, pregnant women, and healthy people, most of whom are in their 10s to 40s. People with congenital arteriovenous malformations usually have no symptoms and it is not until the hemangiomas burst that they have severe headaches, dizziness, nausea, vomiting, nervous dysfunction, confusion, seizures, and even coma.
Diagnosis of Cerebral Arteriovenous Malformations (AVM)
Since patients generally do not have any symptoms and do not have emergency symptoms until the hemangioma’s rupture, under the conditions, even if there are no symptoms, anyone should do a detailed physical examination of the brain and its vascular structure in advance, and diagnose in advance whether they have congenital or acquired cerebrovascular lesions, in order to plan the response and choose the treatment plan before the time bomb in the hidden brain explodes and causes severe hemorrhagic stroke. With preventive treatment, many tragedies and regrets can be greatly reduced. There are several options for a detailed anatomy examination:
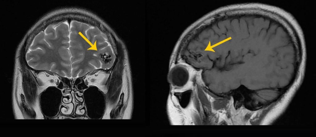
Magnetic Resonance Imaging (MRI) and Magnetic Resonance Angiography (MRA)
Magnetic Resonance Imaging (MRI) is a “radiation-free, non-invasive, painless” scanning imaging technique, which is very different from radio-induced X-Rays or Computed Tomography (CT scans). Besides of not requiring the injection of contrast agent, the advanced magnetic resonance machine can also achieve the effect of 3D three-dimensional brain angiography, and can accurately and clearly illuminate the location of cerebral arteriovenous malformation hemangioma and its relationship with normal brain tissue. In addition, MRI can scan different parts of the body to conduct a detailed screening of the whole body for patients without symptoms, and detect whether there is a hidden risk of stroke or cancer in the body structure.
Computed Tomography Angiography (CTA)
Computed Tomography Angiography (CTA), which involves radiation and intravenous contrast, is not the preferred contrast test for general physical health screening, but it can provide more information for neurosurgeon to consider when choosing and considering the appropriate medical option.
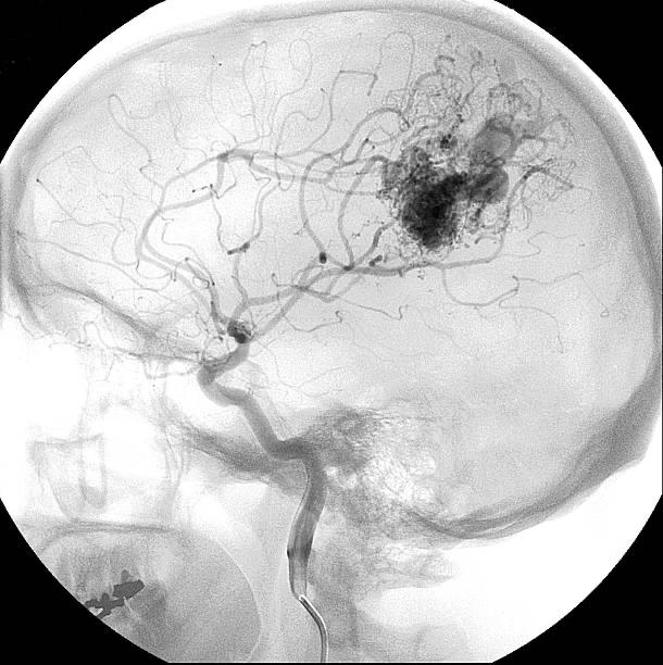
Although the dynamic and 3D three-dimensional Cerebral Digital Subtraction Angiography (DSA) is a minimally invasive examination that also involves radiation and contrast injection, it is a gold-standard final examination that is necessary for neurosurgeons before choosing a treatment plan, from arteries to microfilament vessels to venous blood vessels dynamic flow and speed, allowing doctors to fully grasp the information of brain blood vessels. In addition, DSA can help doctors in determining whether malformed blood vessels have a crisis of bursting in a short period of time, so as to determine the best medical plan and time frame for patients.
Common Clinical Treatment Options
Current treatment options include the following:
(1) Conservative Observation
If the patient has no symptoms at all, or if the patient is symptomatic but old age, seriously ill in health, or in individual cases the doctor believes that any treatment is more risky than no treatment, conservative treatment is generally used.
(2) Minimally Invasive Microscopic Excision
The surgery is guided by 3D stereoscopic computer navigation, and neurosurgeons also use motor neuro-cortical reflexes and continuous brain function monitoring systems if required.
Under the microscope, in addition to the purpose of completely removing arteriovenous hemangiomas and hematomas, doctors will also use all means to protect the nerve function of the patient’s brain and avoid damage. The success rate of surgery depends on the size, location, and complexity of the arteriovenous hemangioma, as well as the experience of the surgeon in charge.
(3) Minimally Invasive Cerebral Vascular Catheter Occlusion Surgery
(Endovascular Embolization)
Depending on the clinical situation, surgical treatment for catheter occlusion can be performed independently, before microscopic surgical resection, or before radiation therapy to reduce the volume and extent of cerebral arteriovenous malformations. The neurosurgeon will use a very fine catheter from the artery in the groin of the patient’s thigh through the large artery in the patient’s body, travel the catheter to the blood vessels of the patient’s brain under X-ray navigation, and then inject very fine titanium wire, plastic bead balls or special glue into the blood vessels of the arteriovenous malformation to embolize the arteries that supply the malformed blood vessels and the center of the malformed blood vessels. The main risk of this surgery is that normal and malformed blood vessels are accidentally injured during the operation, causing them to become blocked or rupture and bleed, resulting in ischemic or hemorrhagic stroke. Another risk of surgery is that during the process, the venous blood vessels responsible for draining the blood from the malformed blood vessels are accidentally blocked prematurely, so that the blood in the malformed blood vessels is discharged, and the blood pressure rises rapidly, resulting in the explosion of hemangiomas.
(4) Radiosurgery
Radiation therapy does not require anesthesia, and the treatment is to inject radiation from multiple angles, and the high-energy radiation will be concentrated on the malformed blood vessels, prompting the abnormal malformed blood vessels to slowly and continuously progress over two to three years. Occlusion meaning blood cannot flow back into normal blood vessels through malformed blood vessels. After the abnormal hemangiomas removed, the risk of hemorrhagic stroke can be greatly reduced. Radiation therapy is indicated for malformed blood.
Radiotherapy may be indicated when the size of the tumor is less than three centimeters, the hemangioma’s location in the brain is too deep, the hemangioma’s position in the brain is too close to the site of important neurological function, or the vascular surgeon has assessed that there is a greater risk of undergoing vaso-occlusion or microscopic resection. The risk of radiation therapy is that although anesthesia and surgery are not required, radiation involves radiation, and radiation must pass through normal brain tissue to reach malformed hemangiomas, which will inevitably have short-or long-term effects on nearby brain cells and blood vessel tissue. In addition, if the position of radiotherapy is not precise enough, it may cause premature occlusion of the vein part of the malformed blood vessel, and the blood will only flow into the malformed blood vessel through the arterial vessel, and cannot flow out through the blocked venous vessel, which will increase the blood pressure in the malformed hemangioma, resulting in hemorrhagic stroke. The choice of radiotherapy systems is X-Knife, Gamma Knife, and Cyber-knife.
In the next topic, we will continue to share some practical cases and targeted treatment methods.

